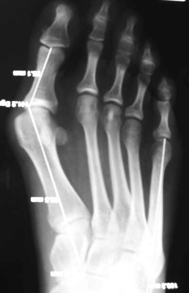
CURE DE L'HALLUX VALGUS



 

Il en existe de très nombreuses techniques, réparties en 2 types principaux, soit interventions sur les tendons et les ligaments (ex. : Mac Bride), soit, plus récemment et beaucoup plus fréquemment, sur les os, en modifiant par sectionnement leur orientation dans l’espace pour corriger la déformation (ex. : ostéotomie scarf sur le premier métatarsien et sur la première phalange) elle nécessite la mise en place de matériel ou ostéosynthèse (vis et agrafe) qui ne sont pas systématiquement retirés, cette intervention consolide habituellement en 6 semaines.

Des cas particuliers peuvent nécessiter un blocage de l’articulation du gros orteil (en cas d’arthrose évoluée le plus souvent). Enfin, les autres orteils peuvent également nécessiter un geste chirurgical pour les réaligner, avec mise en place temporaire de broches, retirées au bout de 4 à 6 semaines.

 

Comment se déroule l’opération ?

 

Il est indispensable dans un but de prévention des infections post-opératoires, que cette intervention soit pratiquée sur un pied dont la peau est indemne et aura fait l’objet d’une préparation antiseptique et d’une épilation la veille. 

Elle nécessite une hospitalisation de quelques jours et se pratique sous anesthésie loco-régionale (ou générale).  

Cette opération dont la durée est d’environ 45 mn se fait par une incision au bord interne du pied, par laquelle le chirurgien rabote la bosse responsable de l’oignon, fait les sections osseuses et fixe les os en bonne position par le matériel.

A l’issue de l’intervention, un drainage visant à éviter la constitution d’un hématome est mis en place, il sera retiré au bout de 48 heures.

Vous pourrez vous déplacer en marchant, le plus souvent sans canne, dès le lendemain de l’intervention, avec une chaussure spéciale permettant l’appui sur l’arrière du pied, à garder jusqu’à consolidation de l’intervention soit 4 à 6 semaines. 

 

On considère habituellement être « normalement » remis de cette intervention au bout de 2 à 3 mois.

 

Quels sont les risques et les complications possibles liés à cette intervention ?

 

Elles sont rares (bien inférieures à 1%) mais toujours possibles, une liste non exhaustive peut en être dressée en fonction de leur ordre chronologique d’apparition possible.

 

Des défauts de cicatrisation peuvent donner lieu à des soins locaux prolongés avant d’obtenir la cicatrisation définitive.

Une infection peut se déclarer qui peut nécessiter un nettoyage chirurgical et une prise d’antibiotiques.

En cas de problème circulatoire pré-existant, il est rare mais possible qu’une nécrose de l’orteil survienne, pouvant conduire à l’amputation de celui-ci ce qui justifie une exploration par doppler pré-opératoire en cas de risque vasculaire.

Un démontage de l’ostéosynthèse ou un défaut de consolidation peuvent se produire, pouvant nécessiter une reprise chirurgicale.

Une perte de sensibilité de l’orteil peut être provoquée par une blessure d’un nerf sensitif.

Une phlébite, pouvant se compliquer elle même d’une embolie pulmonaire est également possible, elle est prévenue par l’administration d’anti-coagulant.

Enfin, une insuffisance de correction peut conduire à une récidive de la déformation.

 

 

NEVROME DE MORTON

L'intervention vise à enlever le névrome responsable des douleurs.

Elle se pratique le plus souvent en ambulatoire sous anesthésie loco-régionale.

Après la préparation cutanée habituelle (désinfection), une incision de quelques cm sera faite dans la commissure entre les orteils correspondant et le névrome sera retiré (une analyse sera faite pour confirmer la nature de la tuméfaction). Il en résulte une perte de sensibilité dans le territoire correspondant car le nerf aura été sectionné (rappelons que la sensibilité était déjà très altérée par le névrome) sans conséquences pour la vie pratique et sportive.

La cicatrice est ensuite refermée et vous pourrez regagner votre domicile quelques heures après.

Le pansement est à porter une dizaine de jours, date à laquelle les fils sont retirés. Pendant ce temps la marche est autorisée en reportant d'avantage l'appui sur le talon pour soulager la zone opérée.

Il n'y a habituellement pas besoin de rééducation.

Les complications sont rares, essentiellement infections et persistance de douleurs.